
髋臼骨折是创伤中最复杂的骨折之一,髋臼的臼顶又是髋臼骨折复位的关键,主要影响术后的功能。
臼顶压缩又是移位中最难得移位,今天小编跟你一起学习一下臼顶压缩的复位技巧!

一
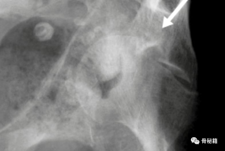
认识和分辨臼顶的压缩的部位、数值
术前的CT和X线都是很好的工具,通过影像学来分辨臼顶到底有没有压缩,压缩了多少。

红色为压缩后,绿色为压缩前。


这种臼顶的压缩还有个特殊的名字叫海欧征,髋臼匹配度出现了问题,这个时候就需要注意有臼顶压缩了。

CT图像可以更好的分辨是否压缩还有压缩的数值,还有具体的方位,是前方 还是后方?内侧还是外侧?



二
选择合适的入路
在之前的定位之后我们就需要根据臼顶压缩的部位来选择入路,到底哪个入路可以更好的进行复位?
一般来说,中心性脱位的都属于内后方的压缩,采用改良入路一般都可以解决。

髂腹股沟入路

改良入路
三
手术体位:确保你的髋关节是屈曲的
屈曲的髋关节可以较好的使得患侧的肌肉松弛,从而更易于复位。可以在膝盖下垫一个较大的“滚子”。

四
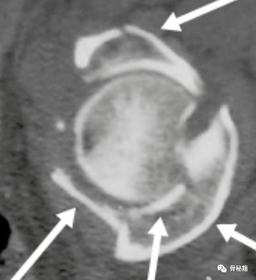
如何到达压缩的臼顶?
一般有两种方法:通过骨折线,通过骨皮质开窗。
如果压缩的地方伴有骨折,那刚好,我们可以通过骨折线进入压缩区域;如果是单纯的压缩,压缩上方没有骨折,那么只能通过开窗的方式。

左为通过骨折线,右为通过骨皮质开窗。
五
复位前提,将股骨向外侧和远端牵开
可以在股骨颈处植入一个粗的钉进行辅助,也可以应用牵开器进行牵拉。


六
选用合适的手术器械进行复位,同时辅助透视
我们做髋臼的时候一般是做臼不见臼,没有办法从里面看到关节面是否复位。通过把压缩的关节面用骨拨进行翘拨来进行复位。
有骨折线的时候直接用骨拨复位。

限 时 特 惠: 本站每日持续更新海量各大内部创业教程,永久会员只需99元,全站资源免费下载 点击查看详情
站 长 微 信: nanadh666

没有骨折线的时候,通过开窗后用尖顶来复位。


七
临时固定和固定
此时注意轻轻活动一下髋关节,看看有没有撞击,如果出现过度复位现象也可以以股骨头为模板将骨折块更好的复位。复位无误后行克氏针临时固定或用螺钉横向固定臼顶。

八
压缩较大时,建议植骨臼,防止骨折塌陷或再移位

硫酸钙植骨材料填充后的固定图像。
九
最后,稳定髋臼的其他柱和壁、四边区等骨折臼,完成最终固定

今天的秘籍内容就到这里,你都学会了吗?
什么?你还不会入路呢??
快点来学习髋臼改良入路关键11步

作者介绍:
彭烨
主治医师,骨科博士后
师从301医院唐佩福教授 曾赴美国进行骨与关节损伤微创治疗的学习 对骨折的微创治疗有深入研究 尤其是针对骨盆骨折和跟骨骨折的微创治疗有一定研究 发表国际sci论文10余篇。
———END———
限 时 特 惠: 本站每日持续更新海量各大内部创业教程,永久会员只需99元,全站资源免费下载 点击查看详情
站 长 微 信: nanadh666



